Loading...
Ср 01 апреля 2026
Я ищу...
Российская наука
Мировая наука
Астрономия
Биология
Гуманитарные науки
Математика и Computer Science
Медицина
Науки о Земле
Сельское хозяйство
Технические науки
Физика
Химия и науки о материалах
Дискуссии
Фарма
Цифровизация
InScience.Pro
Блокчейн
НТИ
Science&Art
ИИ повысил точность диагностики рака груди
Пт 24 сентября, 2021
Медицина
Антитела ламы помогут лечить COVID-19
Ср 22 сентября, 2021
Медицина
Белок Соника может сыграть роль в лечении болезни Паркинсона
Ср 22 сентября, 2021
Гуманитарные науки
Что нового в Nature, Science и The Lancet. 20 сентября
Пн 20 сентября, 2021
Биология
Искусственные органы использовали для поиска мишеней для лекарств от коронавируса
Пт 17 сентября, 2021
Медицина
Прослушивание Моцарта полезно для здоровья
Чт 16 сентября, 2021
Определены новые мишени для противораковых вакцин
Чт 16 сентября, 2021
Стоматологи предложили способ комплексного лечения воспалений с помощью озона
Ср 15 сентября, 2021
Ученые провели самый подробный анализ трехмерной структуры коронавируса
Вт 14 сентября, 2021
Тяжелая форма COVID-19 повышает уровень аутоантител
Вт 14 сентября, 2021
Что нового в Nature, Science и The Lancet. 13 сентября
Пн 13 сентября, 2021
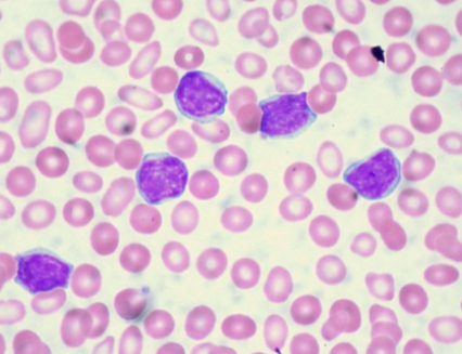
Обнаружен новый биомаркер острого миелоидного лейкоза
Пн 13 сентября, 2021
Сочетание химио- и иммунотерапии эффективно при лечении острого миелоидного лейкоза
Вс 12 сентября, 2021
Кишечные бактерии могут увеличивать восприимчивость к болезни конзо
Пт 10 сентября, 2021
134
135
136
137
138
139
140
141
142
143
Поиск
Я ищу...
Найти
Подписывайся
Читайте наши последние новости в любой из этих социальных сетей!
Последние новости
РНФ начинает прием заявок на конкурс по отбору технологических предложений для проведения конкурса на получение грантов памяти выдающегося русского ученого Евгения Павловича Велихова
Вт 31 марта, 2026
Уральские астрохимики создали спектральную библиотеку для анализа данных крупнейшего космического телескопа
Вт 31 марта, 2026
Светящиеся наночастицы помогут определять температуру работающих микрочипов
Пн 30 марта, 2026
Искусственную эмаль научились «собирать» с помощью электрического поля
Пт 27 марта, 2026
Виталий Синицын: реализация проекта при поддержке РНФ позволит нам выбиться в мировые технологические лидеры
Пт 27 марта, 2026
Химики нашли способ продлить срок службы литий-ионных аккумуляторов
Пт 27 марта, 2026
Больше новостей